 
     公司动态Dynamic Company
公司动态Dynamic Company
                
            联系我们
【新品单抗】NSE(克隆号:22C9)
浏览次数:2427 发布时间:2019-11-22
好消息:单克隆鼠抗人神经元特异性烯醇化酶 (NSE) ,克隆号: 22C9 ,基因科技现已重磅上市。
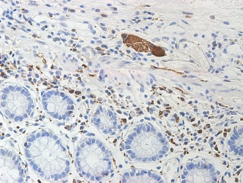
产品简介: 烯醇化酶是糖化的同工酶,其催化磷酸甘油酸盐与磷酸烯醇丙酮酸盐的互相转化。烯醇化酶的分子由 a (46 kDa), b (44 kDa) 和 g (46kDa) 三部分组成,并形成 ( aa , bb , gg , ab and ag ) 五种形式。烯醇化酶根据其不同的定位分为三个组:非神经元烯醇化酶 (NNE or a ) 、肌肉特异性烯醇化酶 (MSE or b ) 和神经元特异性烯醇化酶 (NSE or g ) 。该抗体标记神经元和神经内分泌来源的正常和肿瘤细胞。
克隆号: 22C9
修复条件: 高 pH 热修复
阳性部位: 胞浆
阳性对照: 脑
抗体染色图片:

结肠 NSE 染色(高 pH 热修复)
神经内分泌细胞阳性
DAB 显色
| 货号 | 规格 | 备注 | 
| GT219602 | 2ml | 工作液 | 
| GT219604 | 4ml | 工作液 | 
| GT219607 | 7ml | 工作液 | 
| GT219629 | 0.2ml | 浓缩液 | 
另有同类产品 NSE: GM0873 ,克隆号: BBS/NC/VI-H14 可供选择。

