公司动态Dynamic Company
联系我们
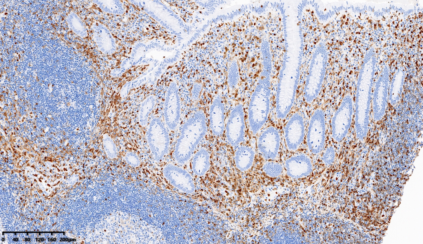
【新品单抗】S100A4
浏览次数:7146 发布时间:2021-12-02
产品简介
S100A4蛋白是钙离子结合蛋白S-100家族中的重要成员,表达于肿瘤细胞及正常细胞。S100A4是一个与细胞分化及肿瘤的发生、转移、预后密切相关的蛋白,常用于肿瘤的研究。
| 克隆号 | 定位 | 阳性对照 | 修复条件 |
EPR14639(2) | 细胞膜/细胞浆/细胞核 | 阑尾 | 高PH热修复 |

阑尾,S100A4染色,DAB显色
