产品中心
Products
免疫组织化学(IHC)
基因突变及甲基化检测
荧光原位杂交(FISH)
原位杂交(ISH)
免疫荧光(IF)
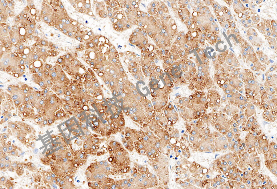
Adipophilin/ADRP 亲脂素
浏览次数:2347 发布时间:2019-12-12
| 克隆号:B-6 | 种属:鼠 | 适用染色系统:GTvisionTM |
| 预处理:高pH热修复 | 阳性部位:细胞膜/细胞质 | 阳性对照:肾上腺/肝脏 |
| 简介:ADRP(Adipose Differentiation Related Protein)即脂肪细胞分化相关蛋白,也称亲脂素,是细胞内脂肪小球表面物质的主要组成成分,可以显示正常细胞内含有的脂滴,如皮脂腺细胞、脂肪细胞、肾上腺皮质细胞、支持/间质细胞,以及分泌期的乳腺上皮。它可应用于辅助诊断皮脂腺癌。研究发现在Burkitt淋巴瘤中阳性率96%(45/47),因此,也可用于Burkitt淋巴瘤诊断和鉴别诊断。 | ||
![]() | ||
| 肝脏石蜡切片,用 ADRP(GT2292)染色,细胞膜/细胞质阳性,DAB 显色。 | ||
| 货号 | GT229202 | GT229207 | GT229229 |
| 规格 | 2.0mL | 7.0mL | 0.2mL浓缩液 |


