产品中心
Products
免疫组织化学(IHC)
基因突变及甲基化检测
荧光原位杂交(FISH)
原位杂交(ISH)
免疫荧光(IF)
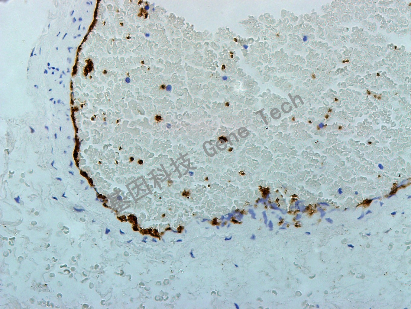
CD42b抗体试剂(免疫组织化学法)
浏览次数:1942 发布时间:2019-12-14
| 沪闵械备20190205号 | ||
| 克隆号:42C01 | 种属:鼠 | 适用染色系统:GTvisionTM |
| 预处理:高pH热修复 | 阳性部位:细胞膜 | 阳性对照:扁桃体 |
| 简介:CD42b是一种表面膜糖蛋白,在巨核细胞和血小板的膜上表达。CD42b可用于区分急性巨核性白血病亚型。CD42b在急性骨髓性纤维化中阴性表达。 | ||
![]() | ||
| 扁桃体石蜡切片,用 CD42b(GT2238)染色,细胞膜阳性,DAB 显色。 | ||
| 货号 | GT223802 | GT223807 | GT223829 |
| 规格 | 2.0ml | 7.0ml | 0.2ml浓缩液 |


