产品中心
Products
免疫组织化学(IHC)
基因突变及甲基化检测
荧光原位杂交(FISH)
原位杂交(ISH)
免疫荧光(IF)
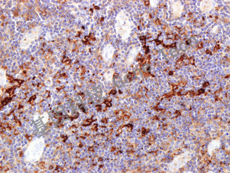
CD205
浏览次数:1760 发布时间:2019-12-14
| 克隆号:EP176 | 种属:兔 | 适用染色系统:GTvisionTM |
| 预处理:高pH热修复 | 阳性部位:细胞质 | 阳性对照:扁桃体 |
| 简介:CD205又名DEC-205,属于巨噬细胞甘露糖受体家族中的C-型凝集素介导的内吞受体。CD205主要表达于胸腺皮质上皮细胞和树突状细胞,同时在T细胞、B细胞和某些上皮细胞中有低水平表达。CD205是一个新发现的胸腺上皮标记分子,与胸腺细胞的阳性选择过程有关,是胸腺瘤诊断的敏感、特异的标记分子,不过其敏感性较CD5和CD117稍低。 | ||
![]() | ||
| 扁桃体石蜡切片,用 CD205(GT2276)染色,细胞质阳性,DAB 显色。 | ||
| 货号 | GT227602 | GT227607 | GT227629 |
| 规格 | 2.0mL | 7.0mL | 0.2mL浓缩液 |


