产品中心
Products
免疫组织化学(IHC)
基因突变及甲基化检测
荧光原位杂交(FISH)
原位杂交(ISH)
免疫荧光(IF)
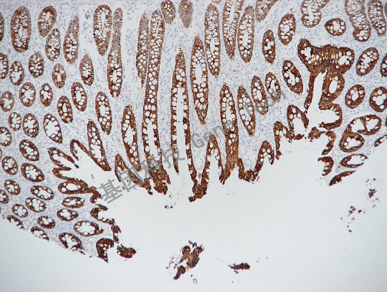
细胞角蛋白 8 抗体 鼠抗人 CK8
浏览次数:1730 发布时间:2019-12-15
| 沪闵械备20180079号 | ||
| 克隆号:TS1 | 阳性对照:结肠/阑尾 | 阳性部位:细胞浆 |
| 预处理:高pH热修复 | 适用:石蜡切片/冰冻切片 | 显色系统:GTvisionTM |
| 简介:在正常组织中,CK8 几乎可表达于所有的非鳞状上皮,如结肠、胃、小肠、气管上皮和移行上皮。在卵巢癌、消化道腺癌、甲状腺腺癌、乳腺导管癌、神经内分泌肿瘤、肝癌及肾脏肿瘤等恶性肿瘤中也表达阳性。主要用于诊断上皮来源癌及转移性恶性肿瘤。 | ||
![]() | ||
| 肝石蜡切片,用 CK8(GT2035)染色,细胞浆阳性,DAB 显色。 | ||
| 货号 | GT203502 | GT203504 | GT203507 | GT203529 |
| 规格 | 2.0ml | 4.0ml | 7.0ml | 0.2ml浓缩液 |


