产品中心
Products
免疫组织化学(IHC)
基因突变及甲基化检测
荧光原位杂交(FISH)
原位杂交(ISH)
免疫荧光(IF)
细胞角蛋白 20 抗体 鼠抗人 CK20
浏览次数:2271 发布时间:2019-12-15
| 沪闵械备20180074号 | ||
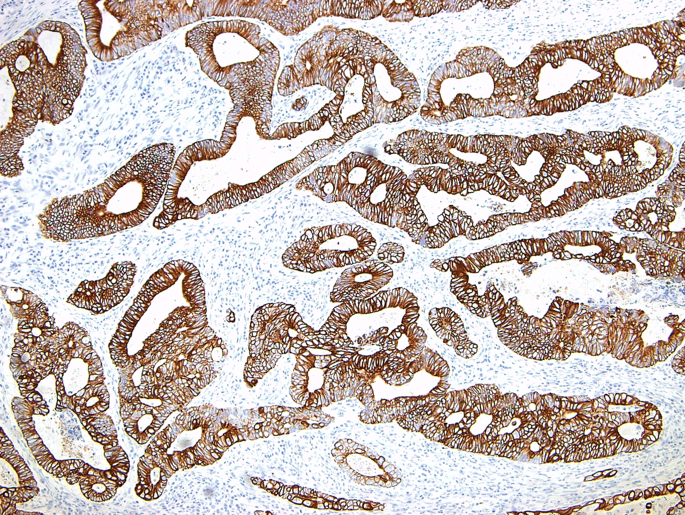
| 克隆号:KS20.8 | 阳性对照:结肠癌 | 阳性部位:细胞浆 |
| 预处理:高pH热修复 | 适用:石蜡切片/冰冻切片 | 显色系统:GTvisionTM |
| 简介:细胞角蛋白20 属于中间丝蛋白,几乎在所有的细胞中都会参与胞浆的形成。与其他的中间丝蛋白相比,细胞角蛋白(CKs)由40-68Kda 的多肽组成的高度复杂的多基因家族。CK20 多肽已发现在多种人上皮和相应的恶性肿瘤细胞中表达。可分为酸性的(Ⅰ型)和中性- 基础的(Ⅱ型)亚家族。CK20 是46Kda 的蛋白,较其他Ⅰ型细胞角蛋白酸性稍弱。 | ||
![]() | ||
| 结肠癌石蜡切片,用 CK20(GT2042)染色,细胞浆阳性,DAB 显色。 | ||
| 货号 | GT204202 | GT204204 | GT204207 | GT204229 | GT204211 |
| 规格 | 2.0ml | 4.0ml | 7.0ml | 0.2ml浓缩液 | 1.0ml浓缩液 |


