产品中心
Products
免疫组织化学(IHC)
基因突变及甲基化检测
荧光原位杂交(FISH)
原位杂交(ISH)
免疫荧光(IF)
ER 兔抗人 雌激素受体 抗体试剂(免疫组织化学法)
浏览次数:2282 发布时间:2019-12-15
| 国械注准20173404076号 | ||
| 克隆号:SP1 | 种属:兔 | 适用染色系统:GTvisionTM |
| 预处理:高pH热修复 | 阳性部位:细胞核 | 阳性对照:乳腺癌 |
| 简介:Estrogen Receptor(雌激素受体,ER)该抗体识别人雌激素受体α亚型,在子宫内膜、平滑肌细胞、正常乳腺上皮及乳腺癌中均有阳性表达,是乳腺癌预后及内分泌治疗的重要指标。约有50-60%的乳癌患者ER表达阳性。 | ||
![]() | ||
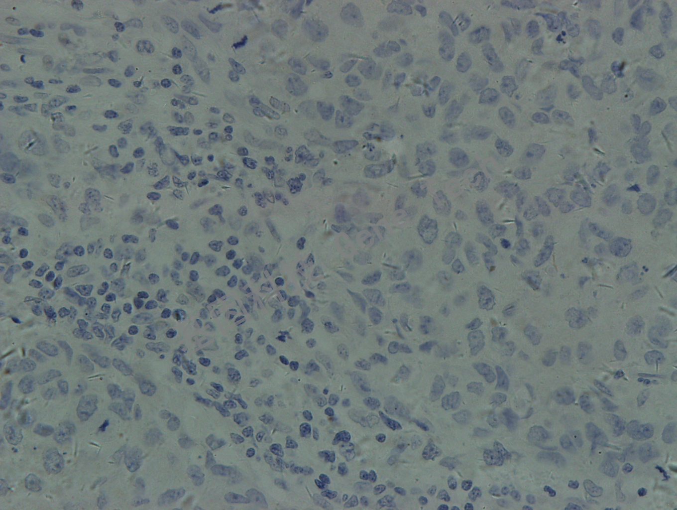
| 乳腺癌石蜡切片,用 ER(GT2056)染色,细胞核阴性,DAB 显色。 | ||
![]() | ||
| 乳腺癌石蜡切片,用 ER(GT2056)染色,细胞弱阳性,DAB 显色。 | ||
![]() | ||
| 乳腺癌石蜡切片,用 ER(GT2056)染色,细胞中阳性,DAB 显色。 | ||
![]() | ||
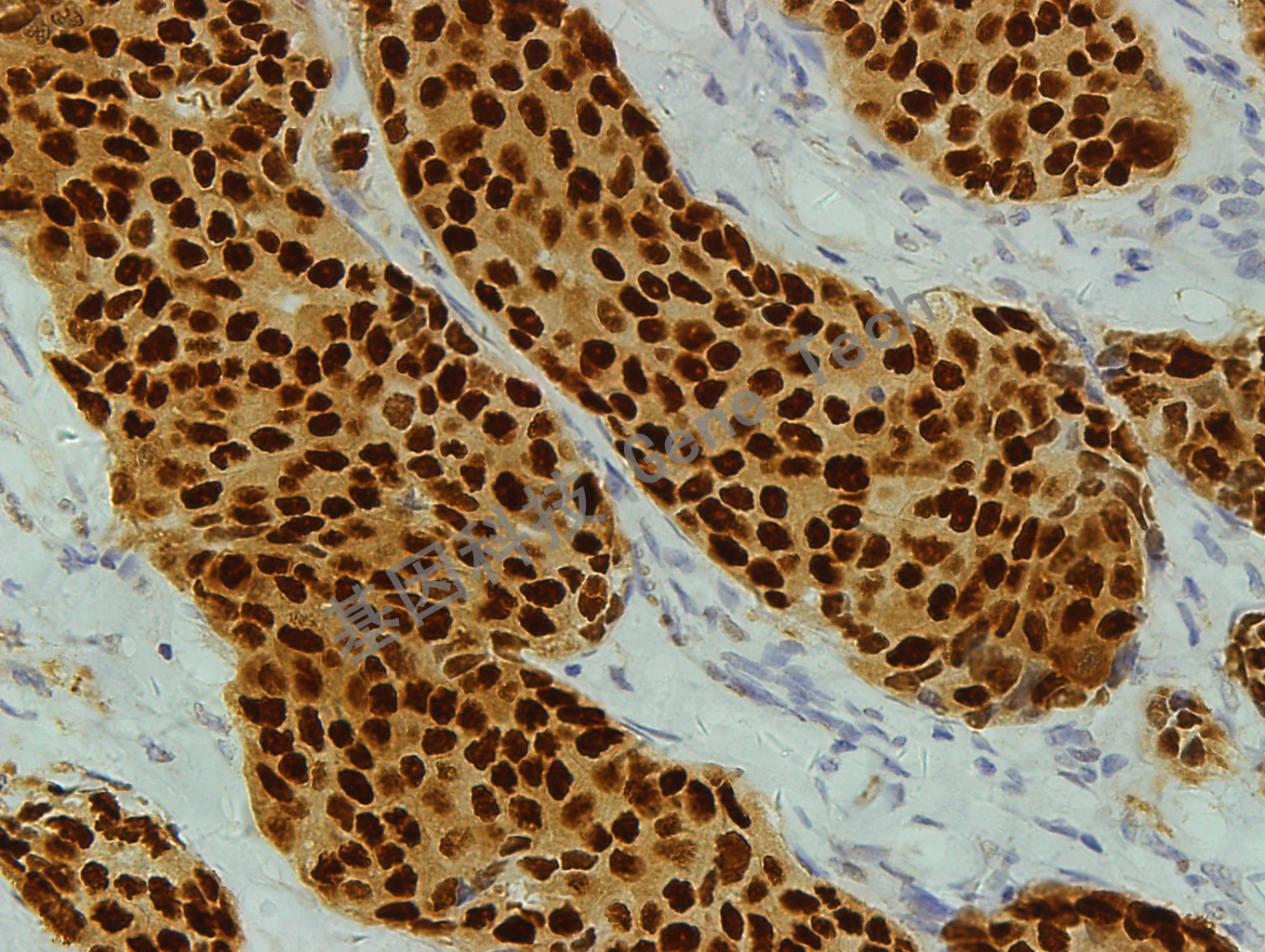
| 乳腺癌石蜡切片,用 ER(GT2056)染色,细胞强阳性,DAB 显色。 | ||
| 货号 | GT205602 | GT205604 | GT205607 | GT205614 |
| 规格 | 2.0ml | 4.0ml | 7.0ml | 14.0ml |





