产品中心
Products
免疫组织化学(IHC)
基因突变及甲基化检测
荧光原位杂交(FISH)
原位杂交(ISH)
免疫荧光(IF)
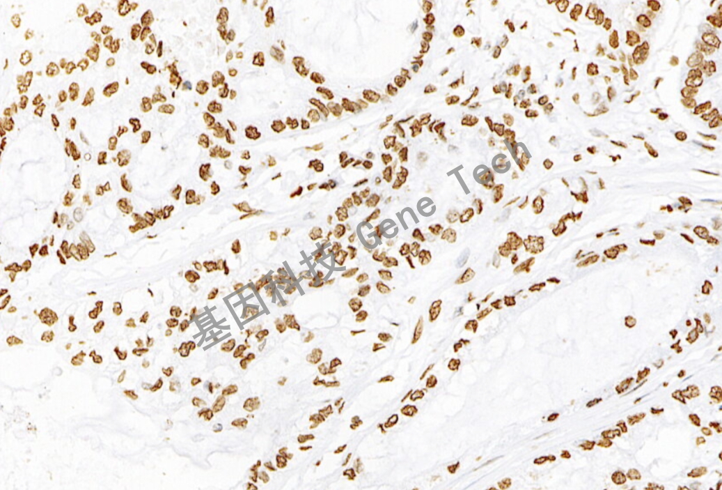
ERCC1 兔抗人 ERCC1 抗体试剂(免疫组织化学)
浏览次数:1685 发布时间:2019-12-15
| 沪闵械备20180096号 | ||
| 克隆号:SP68 | 种属:兔 | 适用染色系统:GTvisionTM |
| 预处理:高pH热修复 | 阳性部位:细胞核 | 阳性对照:肺鳞癌 |
| 简介:ERCC1是核苷酸切除修复通路中高度保守的切除性核酶,是有效修复烷化剂诱导的DNA复合物的必要条件。目前研究资料表明,ERCC1蛋白表达阴性,患者应用顺铂辅助化疗可能获得生存受益;ERCC1蛋白表达阳性可能提示存在这铂类药物耐药,ERCC1蛋白表达可能成为患者是否应用顺铂辅助化疗的指标之一。 | ||
![]() | ||
| 肺腺癌石蜡切片,用 ERCC1(GT2155)染,细胞核阳性,DAB 显色。 | ||
| 货号 | GT215502 | GT215504 | GT215507 | GT215529 |
| 规格 | 2.0ml | 4.0ml | 7.0ml | 0.2ml浓缩液 |


