产品中心
Products
免疫组织化学(IHC)
基因突变及甲基化检测
荧光原位杂交(FISH)
原位杂交(ISH)
免疫荧光(IF)
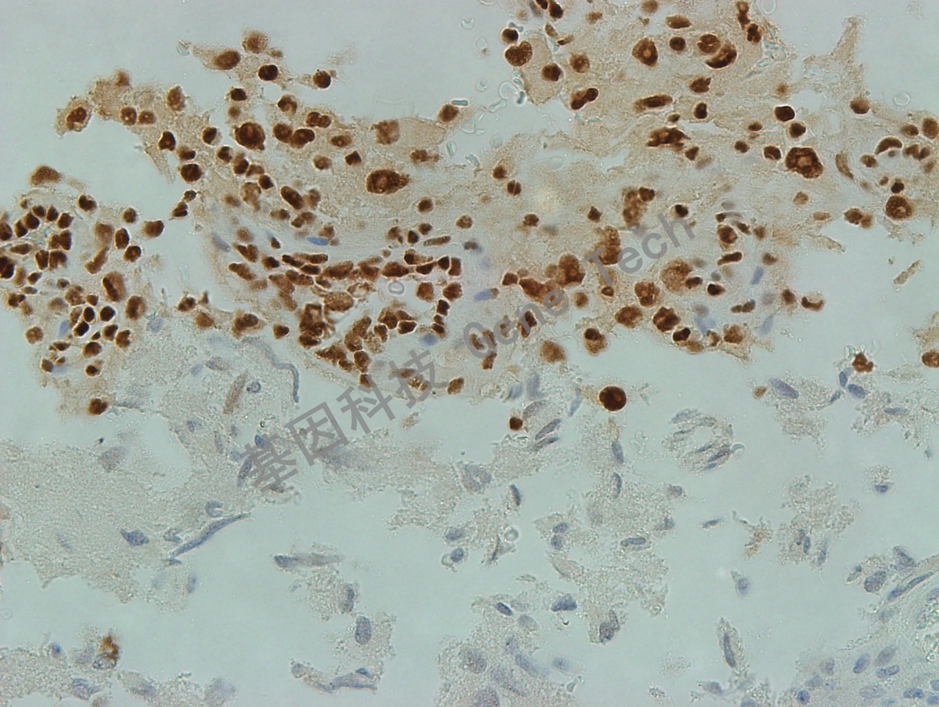
INI-1 鼠抗人 INI-1 抗体试剂(免疫组织化学法)
浏览次数:2112 发布时间:2019-12-16
| 沪闵械备20190111号 | ||
| 克隆号:25 | 种属:鼠 | 适用染色系统:GTvisionTM |
| 预处理:高pH热修复 | 阳性部位:细胞核 | 阳性对照:乳腺/甲状腺 |
| 简介:INI-1(Integrase interactor-1, 整合酶相互作用分子1)是肿瘤抑制基因,编码SWI/SNF复合物中重要的核心亚型,表达于所有正常细胞。该基因由于发生突变而出现INI1表达缺失。大多数恶性横纹肌样瘤(包括儿童中枢神经系统不典型畸胎瘤/横纹肌样瘤)和上皮样肉瘤中该基因失活。肾髓样癌、上皮样恶性神经鞘瘤、肌上皮癌、骨外黏液样软骨肉瘤等肿瘤中也被发现存在INI1缺失。 | ||
![]() | ||
| 恶性胶质瘤石蜡切片,用 INI-1(GT2257)染色,细胞核阳性,DAB 显色。 | ||
| 货号 | GT225702 | GT225704 | GT225707 | GT225729 |
| 规格 | 2.0ml | 4.0ml | 7.0ml | 0.2ml浓缩液 |


