产品中心
Products
免疫组织化学(IHC)
基因突变及甲基化检测
荧光原位杂交(FISH)
原位杂交(ISH)
免疫荧光(IF)
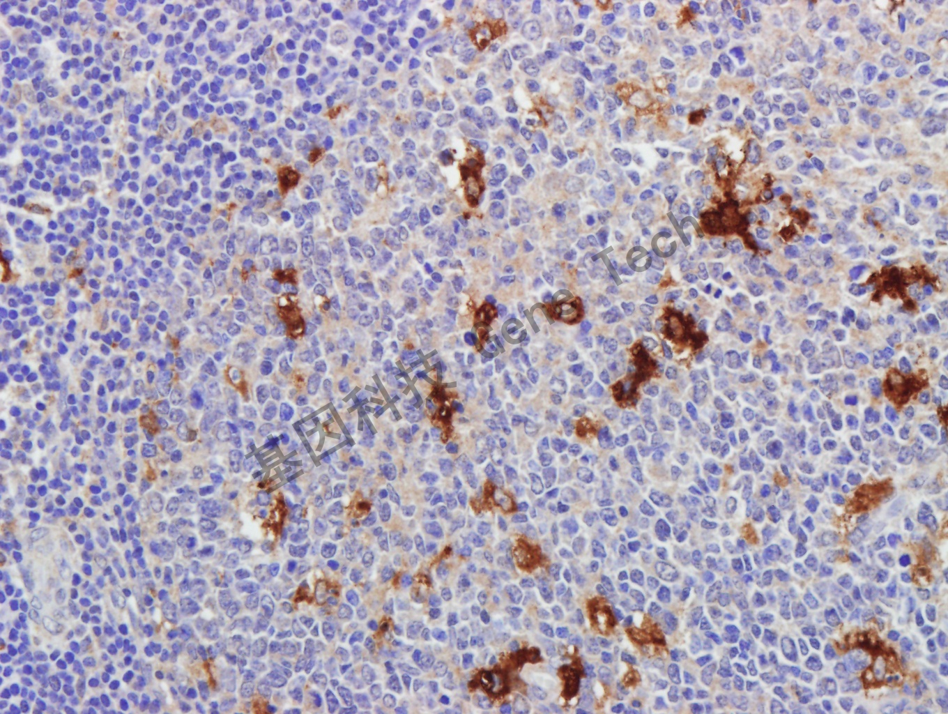
Lysozyme 兔抗人 Lysozyme 抗体试剂(免疫组织化学)
浏览次数:1669 发布时间:2019-12-16
| 沪闵械备20180306号 | ||
| 克隆号:GR308 | 种属:兔 | 适用染色系统:GTvisionTM |
| 预处理:高pH热修复 | 阳性部位:细胞浆 | 阳性对照:扁桃体 |
| 简介:Lysozyme(溶菌酶)是组织细胞及其来源肿瘤的标记物。该抗体和CD68、AACT、ACT等联合使用,用于恶性组织细胞肿瘤和恶性组织细胞增生症等疾病的诊断。 | ||
![]() | ||
| 扁桃体石蜡切片,用 Lysozyme(GA0099)染色,细胞浆阳性,DAB 显色。 | ||
| 货号 | GA009902 | GA009904 | GA009907 | GA009929 |
| 规格 | 2.0ml | 4.00ml | 7.0ml | 0.2ml浓缩液 |


