产品中心
Products
免疫组织化学(IHC)
基因突变及甲基化检测
荧光原位杂交(FISH)
原位杂交(ISH)
免疫荧光(IF)
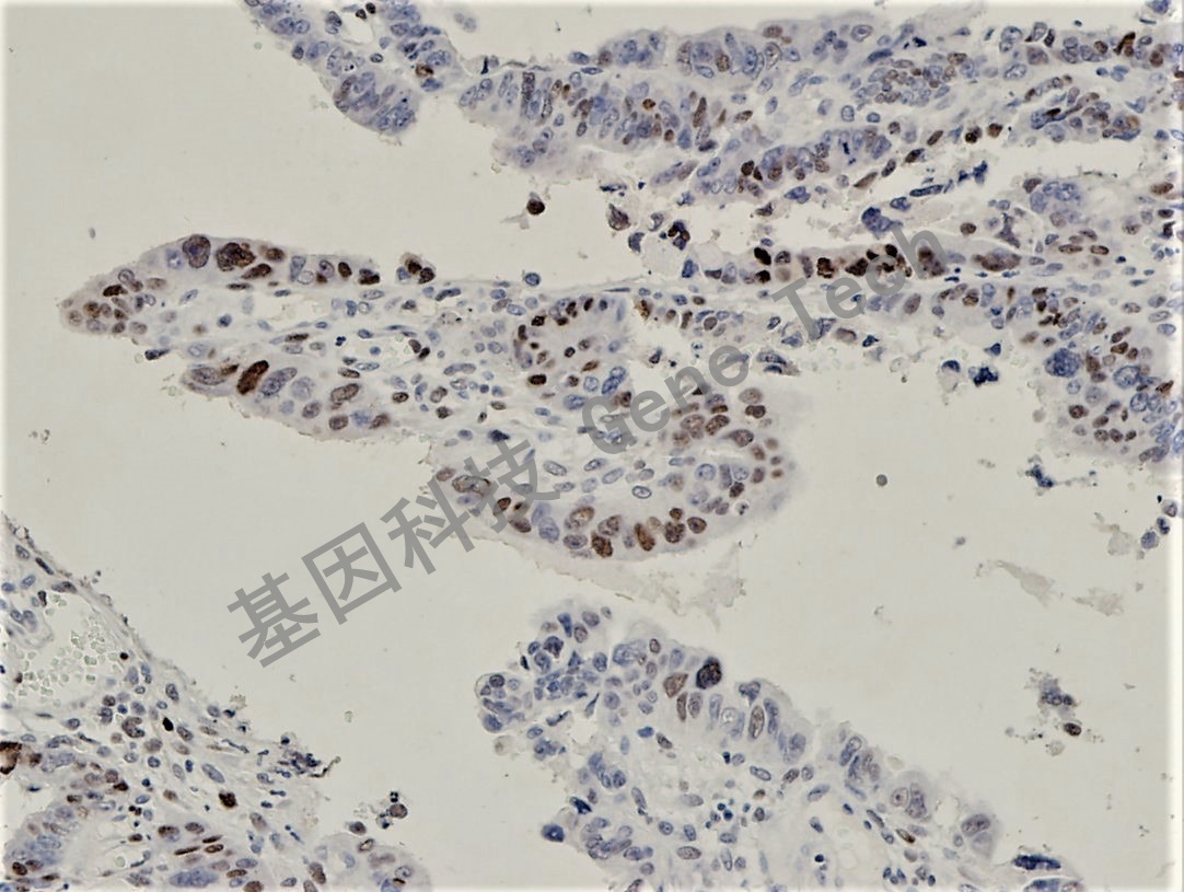
p21/WAF1抗体试剂(免疫组织化学)
浏览次数:1775 发布时间:2019-12-17
| 沪闵械备20180154号 | ||
| 克隆号:GR029 | 种属:兔 | 适用染色系统:GTvisionTM |
| 预处理:高pH热修复 | 阳性部位:细胞核 | 阳性对照:宫颈鳞癌 |
| 简介:p21/WAF1又称CDKN1A,是细胞周期抑制因子,是由位于染色体6(6p21.2)上的CDKN1A基因编码的蛋白质。其表达是由野生型p53诱导,并参与细胞周期的调控,p21WAF1与Cyclin-CDK复合物结合,抑制CDK活性,导致细胞周期中断。也是一个肿瘤抑制因子,用于多种恶性肿瘤的研究。 | ||
![]() | ||
| 平滑肌瘤石蜡切片,用 p21/WAF1(GT2043)染色,细胞核阳性,DAB 显色。 | ||
| 货号 | GT204302 | GT204307 | GT204329 |
| 规格 | 2.0ml | 7.0ml | 0.2ml浓缩液 |


