产品中心
Products
免疫组织化学(IHC)
基因突变及甲基化检测
荧光原位杂交(FISH)
原位杂交(ISH)
免疫荧光(IF)
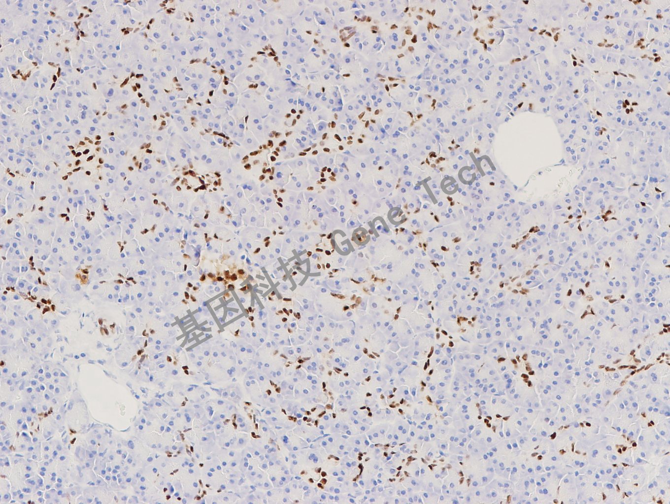
PDX1 兔抗人 PDX1
浏览次数:1640 发布时间:2019-12-17
| 克隆号:EP139 | 种属:兔 | 适用染色系统:GTvisionTM |
| 预处理:高pH热修复 | 阳性部位:细胞核 | 阳性对照:胰腺 |
| 简介:PDX1 (Pancreatic and duodenal homeobox 1)又称胰岛素启动因子1,是胰腺发育和 β 细胞成熟所必需的转录因子。PDX-1 基因突变已被证明可导致胰腺不发育、年轻人成年型糖尿病和 II 型糖尿病。PDX1 最初在胚胎的肠区表达,并选择性地在成人内分泌腺中表达,如胰腺 β- 细胞、十二指肠的布伦内氏腺和胃的幽门内分泌细胞。在胰腺中,PDX1可以在不成熟的外分泌细胞和导管细胞中被检测到。据报道,胰腺、结肠和前列腺肿瘤中的 PDX1 表达增加,提示 PDX1 可能作为这些恶性肿瘤的一种有用的生物标志物。 | ||
![]() | ||
| 胰腺石蜡切片,用 PDX1(GT2293)染色,细胞核阳性,DAB 显色。 | ||
| 货号 | GT229329 |
| 规格 | 0.2ml浓缩液 |


