产品中心
Products
免疫组织化学(IHC)
基因突变及甲基化检测
荧光原位杂交(FISH)
原位杂交(ISH)
免疫荧光(IF)
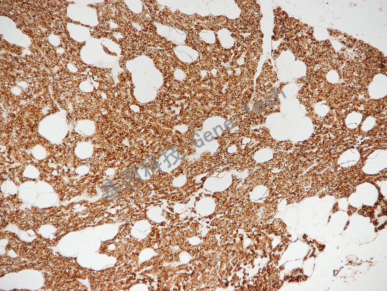
PTH 鼠抗人 PTH 甲状旁腺素 抗体试剂(免疫组织化学)
浏览次数:1839 发布时间:2019-12-17
| 沪闵械备20180264号 | ||
| 克隆号:MRQ-31 | 种属:鼠 | 适用染色系统:GTvisionTM |
| 预处理:高pH热修复 | 阳性部位:细胞膜/细胞浆 | 阳性对照:甲状旁腺瘤 |
| 简介:PTH(Parathyroid hormone, 甲状旁腺素)是甲状旁腺主细胞分泌的碱性单链多肽类激素。甲状旁腺激素可通过升高血钙水平来调节钙离子代谢,具有促进人体骨骼的生长和发育的功能。该抗体主要用于甲状旁腺肿瘤的诊断与研究。 | ||
![]() | ||
| 甲状旁腺瘤石蜡切片,用 PTH(GT2288)染色,细胞浆阳性,DAB显色。 | ||
| 货号 | GT228802 | GT228807 | GT228829 |
| 规格 | 2.0ml | 7.0ml | 0.2ml浓缩液 |


