产品中心
Products
免疫组织化学(IHC)
基因突变及甲基化检测
荧光原位杂交(FISH)
原位杂交(ISH)
免疫荧光(IF)
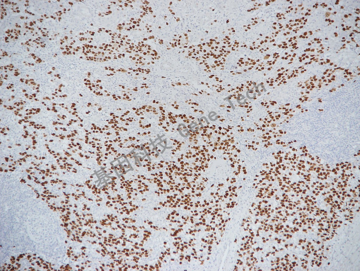
SALL4 鼠抗人 SALL4 抗体试剂(免疫组织化学)
浏览次数:1968 发布时间:2019-12-17
| 沪闵械备20180090号 | ||
| 克隆号:EE-30 | 种属:鼠 | 适用染色系统:GTvisionTM |
| 预处理:高pH热修复 | 阳性部位:细胞核 | 阳性对照:精原细胞瘤 |
| 简介:SALL4(Spalt like transcription factor 4)是一种新确定的锌指转录因子,它通过调节OCT4来维持胚胎干细胞的多能性。其异常表达通常提示原始生殖细胞肿瘤性病变的可能。在妇科病理,SALL4几乎表达于所有原始生殖细胞肿瘤,在未成熟畸胎瘤的原始神经上皮中也可有部分表达。因此,SALL4可作为妇科生殖细胞肿瘤与非生殖细胞肿瘤的初步筛选标记被应用。 | ||
![]() | ||
| 精原细胞瘤石蜡切片,用 SALL4(GT2283)染色,细胞核阳性,DAB 显色。 | ||
| 货号 | GT228302 | GT228304 | GT228307 | GT228329 |
| 规格 | 2.0ml | 4.0ml | 7.0ml | 0.2ml浓缩液 |


