产品中心
Products
免疫组织化学(IHC)
基因突变及甲基化检测
荧光原位杂交(FISH)
原位杂交(ISH)
免疫荧光(IF)
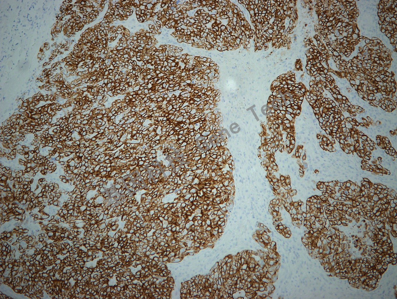
细胞角蛋白7(CK7)抗体 鼠抗人 CK7(GM303)
浏览次数:1986 发布时间:2019-12-17
| 沪闵械备20210003号 | ||
| 克隆号:GM303 | 阳性对照:肺腺癌/乳腺癌 | 阳性部位:细胞浆 |
| 预处理:高pH热修复 | 使用:石蜡切片/冰冻切片 | 显色系统:GTvisionTM |
| 简介:CK7 是一种分子量为54kDa 的碱性细胞角蛋白,存在于大多数正常组织的腺上皮和移行上皮细胞中。卵巢癌、乳腺癌、肺腺癌中CK7 表达阳性,而胃肠道的腺癌、卵巢粘液性腺癌中表达阴性。CK7 是腺癌和移行上皮细胞癌的较特异性的标记物,可与CK20 和Villin 联合应用于确定腺癌的原发部位。 | ||
![]() | ||
| 乳腺癌石蜡切片,用CK7(GT2446)染色,细胞浆阳性,DAB 显色。(10×) | ||
| 货号 | GT244602 | GT244607 | GT244629 |
| 规格 | 2.0ml | 7.0ml | 0.2ml浓缩液 |


