产品中心
Products
免疫组织化学(IHC)
基因突变及甲基化检测
荧光原位杂交(FISH)
原位杂交(ISH)
免疫荧光(IF)
RUNX2抗体试剂(免疫组织化学法)
浏览次数:1642 发布时间:2019-12-18
| 沪闵械备20250140 | ||
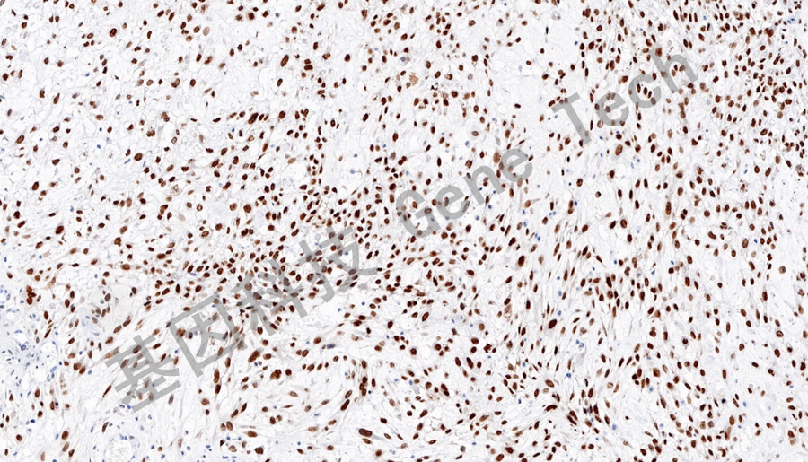
| 克隆号:GR025 | 种属:兔 | 适用染色系统:GTvisionTM |
| 预处理:高pH热修复 | 阳性部位:细胞核 | 阳性对照:骨肉瘤 |
| 简介:RUNT相关转录因子2 (Runt-related transcription factor 2, RUNX2)是转录因子Runxx家族成员之一,对骨组织的形成和重建起着重要作用。RUNX2可以调节基质金属蛋白酶(MMP)、骨桥蛋白(OPN)和骨涎蛋白(BSP)等肿瘤转移相关蛋白的表达。RUNX2在乳腺癌和前列腺癌等肿瘤中表达上调,并且其异常表达与细胞转化和肿瘤进展密切相关,可作为预测患者预后的生物标志物。研究表明,针对Runx2的靶向治疗有可能为阻断肿瘤的转移提供新的治疗选择。 | ||
![]() | ||
| 骨肉瘤石蜡切片,用 RUNX2(GT2602)染色,细胞核阳性,DAB 显色。 | ||
| 货号 | GT258602 |
| 规格 | 2.0mL |


