产品中心
Products
免疫组织化学(IHC)
基因突变及甲基化检测
荧光原位杂交(FISH)
原位杂交(ISH)
免疫荧光(IF)
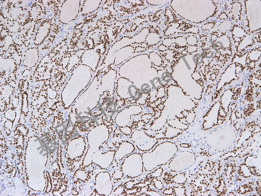
甲状腺转录因子-1(TTF-1)抗体试剂(免疫组织化学)
浏览次数:1990 发布时间:2019-12-18
| 沪闵械备20180077号 | ||
| 克隆号:SPT24 | 种属:鼠 | 显色系统:GTvisionTM |
| 预处理:高pH热修复 | 阳性部位:细胞核 | 阳性对照:甲状腺/肺腺癌 |
| 简介:TTF-1(Thyriod transcription factor-1,甲状腺转录因子-1)是一种核蛋白,主要表达于甲状腺和肺的上皮细胞中。该抗体在甲状腺乳头状癌中表达阳性。在肺肿瘤的研究中发现,大多数小细胞肺癌、肺腺癌、大多数非典型性肺神经内分泌癌及少数肺大细胞未分化癌中TTF-1的免疫组化结果呈阳性,而在肺鳞癌及大多数典型性肺类癌中表达阴性。该抗体主要用于肺和甲状腺肿瘤的分类,也可用于鉴别肺腺癌与鳞癌。 | ||
![]() | ||
| 甲状腺乳头状癌石蜡切片,用 TTF-1(GT2180)染色,细胞核阳性,DAB 显色 | ||
| 货号 | GT218002 | GT218004 | GT218007 | GT218028 | GT218029 | GT218011 |
| 规格 | 2.0mL | 4.0mL | 7.0mL | 28.0mL | 0.2mL浓缩液 | 1.0mL浓缩液 |


