产品中心
Products
免疫组织化学(IHC)
基因突变及甲基化检测
荧光原位杂交(FISH)
原位杂交(ISH)
免疫荧光(IF)
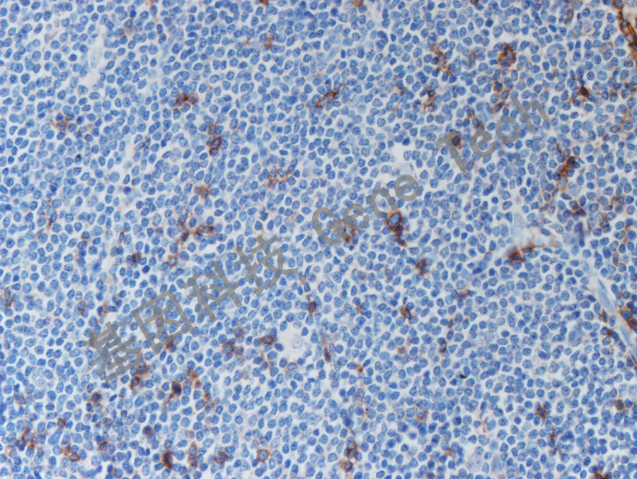
CD247
浏览次数:2025 发布时间:2020-12-20
| 克隆号:GM105 | 种属:鼠 | 适用染色系统:GTvisionTM |
| 预处理:高pH热修复 | 阳性部位:细胞膜 | 阳性对照:扁桃体 |
| 简介:CD247又称CD3 Zeta,在慢性炎症、自身免疫性疾病和肿瘤发展过程中发挥重要作用。CD247的表达和功能改变与T淋巴细胞异常活化相关,CD247基因表达水平的降低使TCR信号转导及细胞内信号转换异常,导致T淋巴细胞活化异常,进而引起免疫功能的缺失,导致慢性感染、免疫性疾病以及肿瘤的发生。CD247在免疫系统疾病及肿瘤组织中异常表达,可用于疾病监控、疗效评价、预后及复发的预测。 | ||
![]() | ||
| 间变性大细胞淋巴瘤石蜡切片,用 CD247(GT2442)染色,细胞膜阳性,DAB 显色。 | ||
| 货号 | GT244202 |
| 规格 | 2.0mL |


