产品中心
Products
免疫组织化学(IHC)
基因突变及甲基化检测
荧光原位杂交(FISH)
原位杂交(ISH)
免疫荧光(IF)
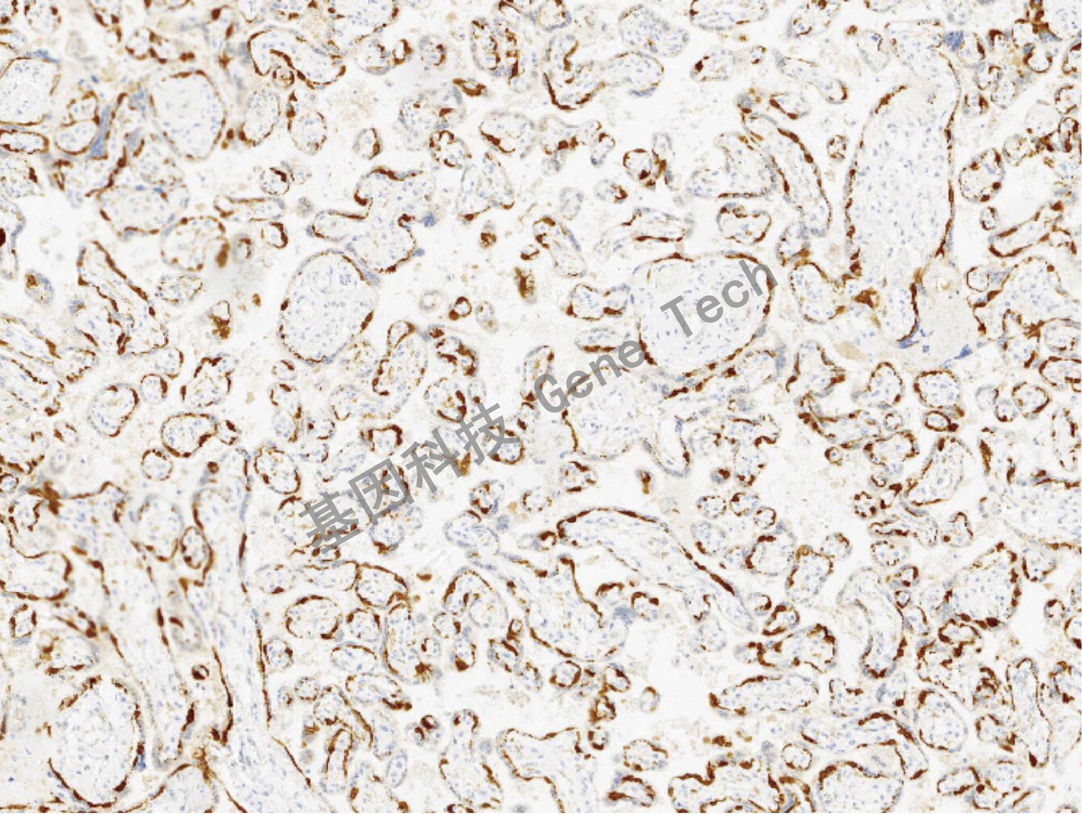
PEG10 鼠抗人 PEG10 抗体试剂(免疫组织化学法)
浏览次数:2671 发布时间:2022-11-16
| 沪闵械备20200040号 | ||
| 克隆号:A13 | 种属:鼠 | 适用染色系统:GTvisionTM |
| 预处理:高pH热修复 | 阳性部位:细胞浆 | 阳性对照:胎盘 |
| 简介:印记基因10(paternally expressed gene 10,PEG10)位于人染色体的7q21 区域,是一种印记基因。其特征为仅有来自父本的等位基因表达,而来自母本的等位基因沉默。已有研究表明,PEG10在肺癌、乳腺癌、前列腺癌、胰腺癌、胆囊癌和肝癌等多种恶性肿瘤中过表达。此外,PEG10是判断肺癌、胆囊癌、肝癌等预后的潜在生物学标志物。 | ||
![]() | ||
| 胎盘石蜡切片,用 PEG10(GT2418)染色,细胞浆阳性,DAB 显色。 | ||
| 货号 | GT241802 | GT241807 |
| 规格 | 2.0ml | 7.0ml |


