产品中心
Products
免疫组织化学(IHC)
基因突变及甲基化检测
荧光原位杂交(FISH)
原位杂交(ISH)
免疫荧光(IF)
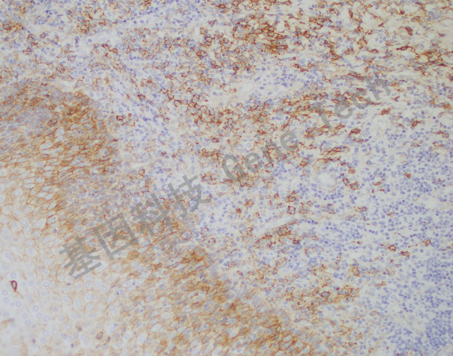
CD138抗体试剂(免疫组织化学法)
浏览次数:209 发布时间:2026-03-06
| 克隆号:GM118 | 种属:鼠 | 适用染色系统:GTvisionTM |
| 预处理:高pH热修复 | 阳性部位:细胞膜 | 阳性对照:扁桃体 |
| 简介:CD138是一种跨膜糖蛋白,表达于正常淋巴细胞的不同分化阶段,如B细胞、未成熟B细胞和浆细胞。同时还表达于上皮细胞、胚胎间质细胞、血管平滑肌细胞、内皮细胞和神经细胞的基底膜。在某些肿瘤中(如鳞癌),CD138的表达与肿瘤的进展和预后有一定相关性。 | ||
![]() | ||
| 扁桃体石蜡切片,用 CD138(GT2617)染色,细胞膜阳性,DAB 显色。 | ||
| 货号 | GT261702 | GT261707 | GT261729 |
| 规格 | 2.0mL | 7.0mL | 0.2mL浓缩液 |


